组织特殊染色-Masson染色

价格
货号
YB000004-1
品牌
粤斌
规格
取样方式
邮寄
交付时间
7个工作日

服务介绍:

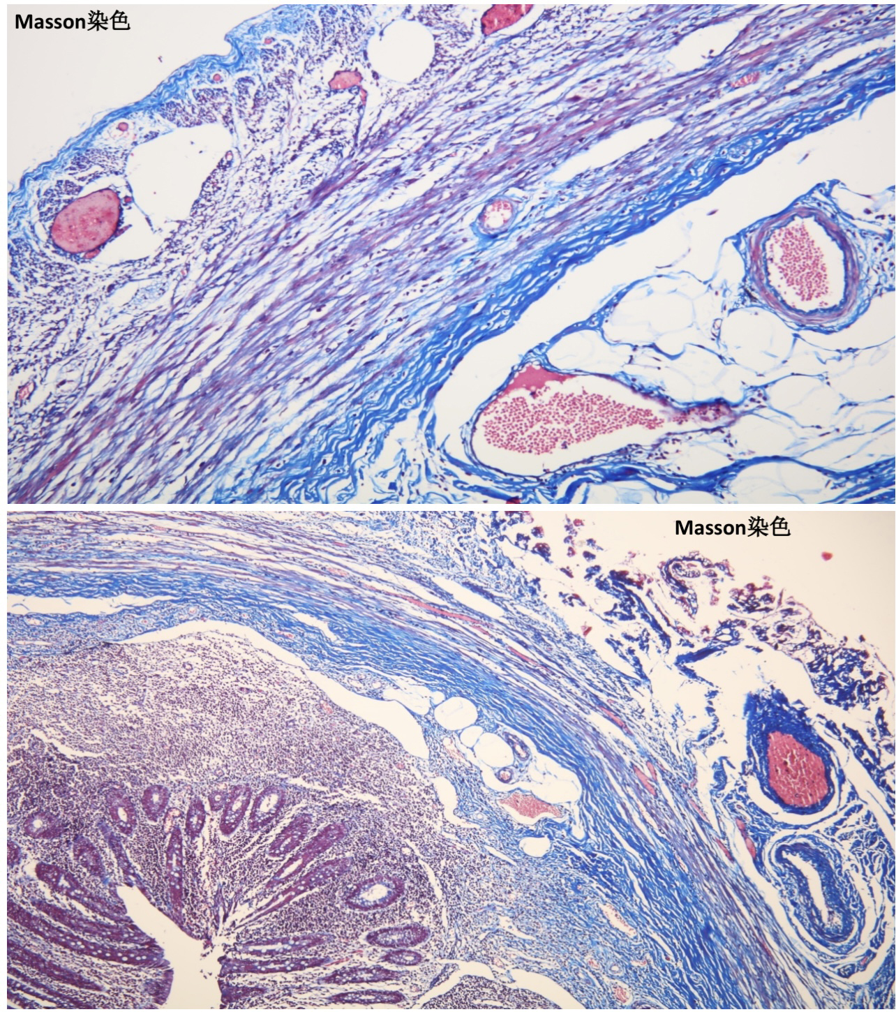
Masson三色染色又称马松染色,是结缔组织染色中最经典的一种方法,也是显示组织纤维的主要方法之一,主要用于鉴别胶原纤维和肌纤维。


主要用途:

主要用于胶原纤维和肌纤维的鉴别染色。


检测原理:

Masson三色染色由Mallory三色染色改造,利用两种或三种阴离子染料混合或一起先后作用完成染色,与阴离子染料分子的大小和组织的渗透性有关。根据组织不同的渗透性能,选择分子大小不同的阴离子的染料进行染色,便可把不同组织成分显示出来。小分子量易穿透 结构致密、渗透性低的组织;大分子量则只能进入结构疏松、渗透性高的组织。然后,亮绿或苯胺蓝的分子量都很大,因此Masson染色后肌纤维呈红色,胶原纤维呈绿色或蓝色。


实验流程:

脱蜡至水-Bouin's固定液过夜-天青石蓝染色-丽春红酸性品红染色-磷钼酸处理-苯胺蓝复染-脱水封片-显微镜镜检。


样本要求及运输条件:

提供固定合格的样本。组织离体后,选择合适的固定液立即固定,固定液的量建议大于组织体积的10-15倍,新鲜标本用合适的容器固定7-72h,标本常温固定即可,切勿冷冻结冰,固定样本常温运输送样。



Copyright © 2024 粤斌医学科研实验室 All Rights Reserved 粤ICP备2022145597号