客户案例
客户评价
Yanming Cao, and Yamei Liu. We also thank Ms. Jing Zhang from Yuebin Medical Research Lab for providing technique support for this study.
We also thank Ms. Jing Zhang from Yuebin Medical Research
We also thank Guangzhou Yuebin Biological Science and Technology Limited Company for its technical support during preparation of paraffin sections.
We also thank Ms. Jing Zhang from Yuebin Medical Research Lab for providing technique support for this study.
The authors also thank Ms. Carrie J. Zhang from Yuebin Research Laboratory (Guangzhou, China) for assistance in the histological staining.
The authors thank Jing Zhang from Yuebin Medical Research Laboratory for technical support during the immunohisto-chemistry experiments.
最新案例

TUNEL

院校/单位:广州市粤斌医学研究有限公司

样本种属:人

组织名称:结肠癌

实验日期:2024-08-20


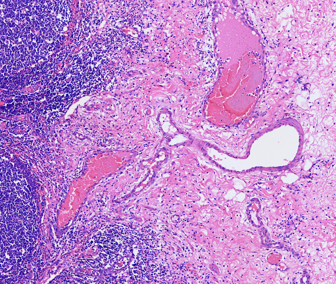
HE

院校/单位:广州市粤斌医学研究有限公司

样本种属:人

组织名称:阑尾

实验日期:2024-08-20


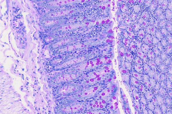
pas

院校/单位:广州市粤斌医学研究有限公司

样本种属:小鼠

组织名称:

实验日期:2024-08-20


甲苯胺蓝

院校/单位:广州市粤斌医学研究有限公司

样本种属:大鼠

组织名称:

实验日期:2024-08-20

尼氏体染色

院校/单位:广州市粤斌医学研究有限公司

样本种属:小鼠

组织名称:脑

实验日期:2024-08-20

六胺银

院校/单位:广州市粤斌医学研究有限公司

样本种属:小鼠

组织名称:肾

实验日期:2024-08-20

Copyright © 2024 粤斌医学科研实验室 All Rights Reserved 粤ICP备2022145597号