组织特殊染色-PAS染色

价格
货号
YB000004-2
品牌
粤斌
规格
取样方式
邮寄
交付时间
7个工作日

服务介绍:

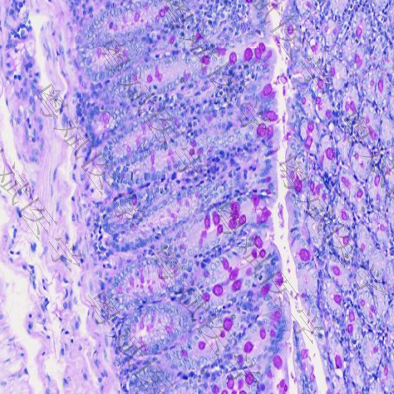
PAS(Periodic Acid-Schiff)染色又称过碘酸雪夫染色,糖原染色。在组织学上,主要用来检测组织中的糖类。


检测原理:

高碘酸是一种氧化剂,能破坏多糖类结构的碳键。组织切片首先被高碘酸溶液氧化,使存在组织内多糖分子的乙二醇基或氨羟基的碳键打开,生成醛类化合物,随后,暴露出来的游离醛基与Schiff氏液的无色品红结合,生成新的红色至紫红色复合物而得到定位,定位于胞浆上。


主要用途:

主要用于组织细胞学糖原和霉菌的染色。鉴定肝糖原、肌糖原,观察某些在肝、肾、肺、心肌、肠上的代谢疾病。


结果判读:

霉菌、糖原、中性粘液物质呈红色,细胞核呈蓝色。


实验流程:

脱蜡至水-高碘酸氧化-水洗-雪夫试剂染色-苏木素染核-分化-脱水透明-封片-显微镜镜检。


样本要求及运输条件:

1、提供固定合格的样本。组织离体后,选择合适的固定液立即固定,固定液的量建议大于组织体积的10-15倍,新鲜标本用合适的容器固定7-72h,标本常温固定即可,切勿冷冻结冰,固定样本常温运输送样。

2、石蜡切片常温运输。


Copyright © 2024 粤斌医学科研实验室 All Rights Reserved 粤ICP备2022145597号