首页
技术服务
组织病理
分子病理
病理影像
读片分析
基因组学
蛋白组学
细胞生物学
超微病理
产品中心
抗体
试剂
耗材
仪器
资料中心
实验报告
实验样本预处理方法
实验样本保存及运输方法
实验技术
服务流程
实验图库
HE染色
特殊染色
电镜检测
免疫组化
免疫荧光
TUNEL
共聚焦拍照
蛋白组学
细胞生物学
基因组学
客户案例
科研样本库
关于我们
企业介绍
新闻动态
联系我们
细胞培养
HE染色
HE染色
组织芯片HE染色
特殊染色
甲苯胺蓝染色
番红固绿染色
天狼星红染色
六胺银染色
普鲁士蓝染色
硝酸银染色
LFB染色
阿利新蓝染色
油红O染色
茜素红染色
Masson染色
TRAP染色
PAS染色
AB-PAS染色
苏丹Ⅲ染色
VG染色
弹力纤维染色
网状纤维染色
维多利亚蓝染色
甘氨酸银染色(镀银)染色
刚果红染色
苯胺蓝染色
肥大细胞染色
β-半乳糖苷酶染色
瑞氏姬姆萨染色
荧光桃红B染色
黑色素染色
硫酸铁铵染色
砂罗铬花青髓鞘染色
尼氏体亚甲蓝法
尼氏体焦油紫混合染色法
含铁血黄素染色
电镜检测
扫描电镜
透射电镜
免疫组化
免疫组化单标
免疫组化双标
组织芯片免疫组化
免疫荧光
免疫荧光单标
免疫荧光双标
免疫荧光三标
组织芯片免疫荧光
TUNEL
TUNEL+抗体
TUNEL(DAB)
TUNEL(荧光)
共聚焦拍照
共聚焦拍照单标
蛋白组学
WB
ELISA
细胞生物学
细胞培养
细胞划痕
细胞转染
流式检测
基因组学
QPCR
质粒提取
空间转录组(SMI)
引物设计
拼片
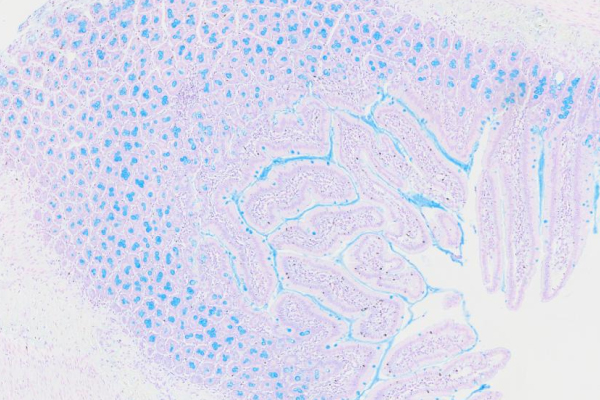
AB-PAS染色
AB-PAS染色
种属:小鼠 | 样本:肠
Copyright © 2024 粤斌医学科研实验室 All Rights Reserved
粤ICP备2022145597号